<META name="y_key" content="0d659db5d99dd700"
Herzlich willkommen bei
SWISSDENTISTRY®
Ihrer
Spezialisierten Praxis für
BIOMIMETISCHE ZAHNMEDIZIN
ZÄHNE NACH DEM VORBILD DER NATUR
Erfahren Sie auf den nächsten Seiten alles über die neuesten Möglichkeiten der
minimalinvasiven Zahnmedizin und schnittfreien Implantologie,
wie wir Ihnen dank modernster CAD- CAM- Technik individuelle,
metallfreie Zähne in nur 1 Behandlung anbieten können,
warum sich unsere Patienten bei uns so wohlfühlen und erfahren Sie mehr über uns,
die Ihr Vertrauen gewinnen wollen.

Ihr
Joachim Spreitzer
und Team
Dr.Joachim Spreitzer
Zahnarzt - Implantologie
Behandlung unter
Akupunktur, Hypnose und Narkose
auf Anfrage
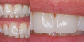
LIGHT - WHITENING 3D SCAN NON-PREP-VENEERS
Schnell schonend lang anhaltend brilliant Perfekte Zähne sofort! Schöne, feste Zähne ohne Bohren!

ZÄHNE UND KÖRPER WEISSE BIO - IMPLANTATE PROFESSIONELLE ZAHNPFLEGE
Ganzheitliche Medizin und Zahnmedizin Schlüssellochtechnik - Kinder Jugend Erwachsene
Zähneknirschen: Diagnostik und Therapie Implantologie auf höchstem Niveau Karies- und Parodontitisfrüherkennung
Natürliche Heilverfahren Familien- und Einzelschulungen
Schnarchtherapie/ Schlafapnoe/Schlafstörungen
