Kariesbehandlung
Der sichtbare Teil eines natürlichen Zahnes wird Zahnkrone genannt. Ist die Krone durch Karies oder andere Umstände so stark zerstört, dass sie mithilfe einfacher Füllungen nicht mehr erhalten werden kann, wird der Zahn mit Inlays, Teilkronen oder Vollkronen restauriert.
Im Seitenzahnbereich stört vor allem die ungünstige Farbe früher verwendeter Materialien wie Gold und Amalgam. Des Weiteren wird seit Jahren die Körperverträglichkeit von Metall-Legierungen als Füllungswerkstoff und Zahnersatz kontrovers diskutiert.
Inlays, Kronen und Brücken - metallfrei aus Keramik
Statt mit dunklem Amalgam oder Goldinlays ersetzen wir kariöse Defekte mit zahnfarbenen Werkstoffen. Metallfreie Versorgungen aus Vollkeramik erzielen schönste Ergebnisse und sind besonders körperverträglich. Vollkeramik ist allergiefrei und hat eine lange Lebensdauer.
Kunststoff nur bei kleinen Defekten
In einigen Fällen können kariöse Defekte mit zahnfarbenen Kunststoffen bzw. Kompositen verschlossen werden. Bei langfristiger Betrachtung treten häufig Probleme auf, da sich diese Füllungen im Laufe der Zeit verfärben und dem hohen Kaudruck im Seitenzahnbereich nicht ausreichend standhalten. Daher verwenden wir dieses Füllungsmaterial nur bei kleinen Defekten im Seitenzahnbereich und überwiegend zur Versorgung von Frontzahnschäden.
 | |  | |  |
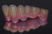
Metallfreie, vollkeramische | | Brücke mit einem computergefertigten | | Zirkoniumdioxid - Gerüst |
Unser deutsches Meisterlabor liefert Zahntechnik der Spitzenklasse. Dank modernster Fertigungstechnologie sind wir in der Lage Ihnen auch bei großen festsitzenden oder herausnehmbaren Zahnersatzlösungen Zähne aus rein biologischen Materialien (kein unangenehmer Kunststoffanteil mehr !) in natürlicher Ästhetik anzubieten. Damit gehören Metall- oder Kunststoffunverträglichkeiten, schnelle Zahnsteinanlagerungen mit unangenehmer Geruchsbelästigung, großvolumige Prothesenkörper und ein künstliches Aussehen der Vergangenheit an.
 | |  | |  |
| Vorlage einer großen, auf implantaten festsitzenden Vollkeramikbrücke mit Zahnfleischteilersatz | | Computergefertigtes Zirkoniumdioxid- Gerüst; Herstellung anhand der Vorlage | | Fertiges Keramikgerüst |
 | |  | |  |
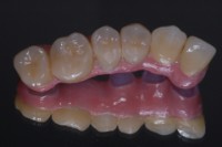
| Gerüstkonstruktion mit Keramik in Zahnfleischoptik | | Fertige Brücke mit einzelnen, individuellen Keramikkronen | | Aufsicht in perfekter Ästhetik |
Made in Germany
Unsere Zahnarztpraxis verwendet im eigenen Praxislabor ausschließlich Materialien, die den EU-Normen entsprechen. Unsere Zahntechniker sorgen für einen schnellen, reibungslosen Service und eine hochwertige Qualität des Zahnersatzes, weshalb wir Ihnen eine bis zu 10-jährige Garantiezusage aussprechen können.
Gerne erhalten Sie auf Anfrage einen individuellen Kostenvoranschlag.
Preisalternativen und Festpreisbehandlung
In Abhängigkeit von Ihren Wünschen und Möglichkeiten bieten wir Ihnen drei Zahnersatzqualitätsstufen an. Dank preiswerter ECO-, bewährter STANDARD- und exklusiver PREMIUM- Zähne, behalten Sie stets Ihre finanzielle Freiheit.
Des Weiteren sind Teilzahlungen und Festpreisbehandlungen möglich.
Tipp
Da unsere Praxis für sanfte und innovative zahnmedizinische Behandlungskonzepte steht, möchten wir Sie in diesem Zusammenhang auf die bewährten nicht- oder minimalinvasiven keramischen Zahnrekonstruktionen hinweisen. Diese hochpräzisen Zahnstücke werden aus einer Hightech- Keramik (Swiss made) mittels hochpräziser, computergesteuerter CNC- Anlagen gefertigt und anschließend am defekten Zahn oder auch an abgeriebenen, aber kariesfreien Kronen und Brücken mit einem hochfesten Klebeverfahren dicht und unlösbar verbunden.
Ein Beschleifen der natürlichen Zahnsubstanz im klassischen Sinn wird damit vermieden, wodurch Nervenschmerzen ausgeschlossen sind!
Auch gehören unnötige Erneuerungen von vorhandenem Zahnersatz in unserer Praxis der Vergangenheit an!